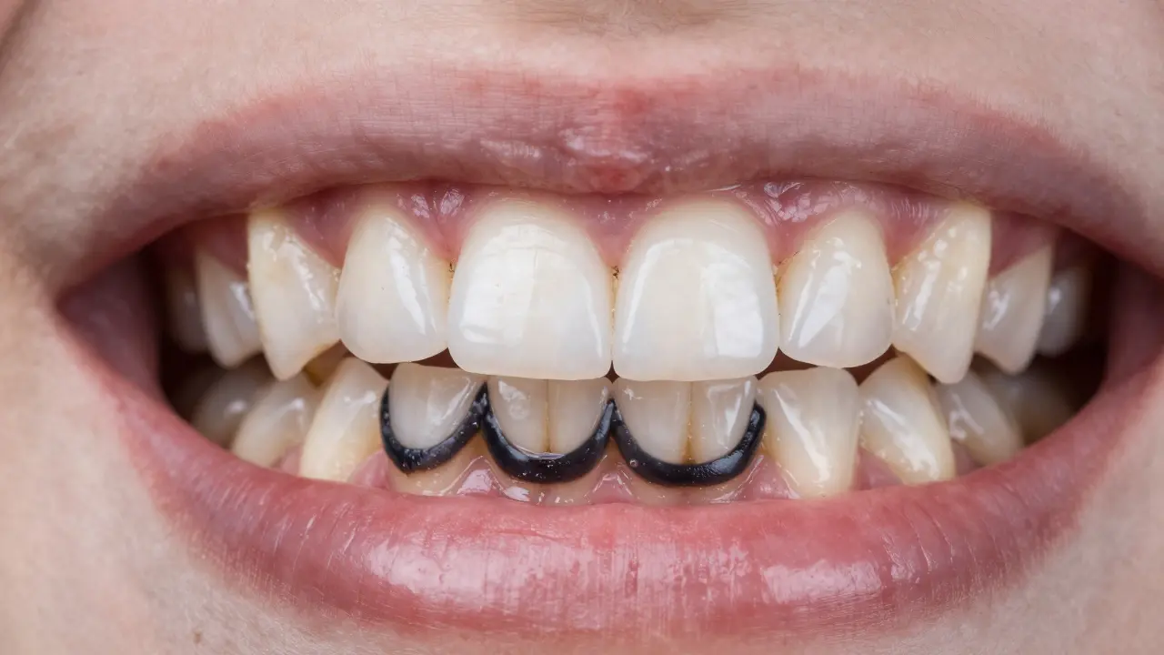
Odstranění zubního kamene – co potřebujete vědět?

Když se vám na zubech objeví tvrdý povlak, většinou jde o zubní kámen. Není to jen kosmetický problém – může vést k zánětu dásní a dalším komplikacím. V tomto článku vám ukážeme, jak si můžete kamenný povlak odstranit sami, kdy je čas zavolat zubaře a jak předejít jeho návratu.

Domácí metody, které skutečně fungují

Nejdříve je dobré pochopit, že běžná zubní pasta nebo obyčejný kartáček kámen nezvládnou. Nejefektivnější domácí pomůcky jsou:

  • Dental floss a mezizubní kartáčky. Pravidelné čištění mezizubních prostor odstraňuje plak, který se bez péče ztvrdne na kámen.
  • Sonický nebo elektrický kartáček. Vysokofrekvenční vibrace pomáhají rozbít měkký povlak dříve, než se promění v tvrdý kamenný nános.
  • Baking soda (soda bikarbona). Smíchejte lžičku s vodou a jemně vyčistěte zuby. Soda mírně abrazuje povrch a může pomoci odstranit mělké vrstvy kamene.

Při používání těchto metod buďte šetrní – příliš tvrdý tlak poškozuje sklovinu i dásně. Ideální je čistit zuby dvakrát denně a jednou týdně provést důkladnější mezizubní čištění.

Kdy se nechte ošetřit profesionálně

Domácí tipy jsou fajn, ale pokud už máte na zubech výrazný žlutý nebo černý povlak, je čas na únikovou návštěvu. Zubní hygienisté používají ultrazvukové scaler‑y a speciální pilulky, které kamenný nános odstraní během pár minut bez bolesti.

Rozpoznejete potřebu profesionála, když:

  • Cítíte krvácení dásní při čištění.
  • Máte zápach z úst, který se nezlepší ústy vodou a pastou.
  • Zubní kámen pokrývá více než dva až tři milimetry výšky – takový objem už běžná domácí hygiena neodstraní.

Profesionální čištění také odhalí skryté problémy, jako jsou poškozené zubní pláty nebo začínající kaz. Proto je dobré navštívit zubaře alespoň jednou za půl roku.

Kromě samotného odstranění kamene se zaměřte na prevenci. Omezte sladké nápoje, konzumujte více vody a zařaďte do jídelníčku potraviny bohaté na vitamín C – posilují dásně a snižují tvorbu plaku.

Na závěr připomeňme: pravidelná ústní hygiena je klíč. Kombinace správného kartáčku, mezizubních pomůcek a občasné návštěvy dentálního specialisty vám udrží zuby čisté a zdravé na dlouhá léta.

Zubní kámen pod dásní: jak ho odstranit doma bez návštěvy zubaře

Zubní kámen pod dásní: jak ho odstranit doma bez návštěvy zubaře

Zubní kámen pod dásní může vést ke ztrátě zubů, ale jeho tvorbu lze značně zpomalit i doma. Zjistěte, jak správně čistit, co použít a co vynechat, abyste se vyhnuli návštěvě zubaře.

Číst více
Rady a tipy pro efektivní boj s zubním kamenem pod dásní

Rady a tipy pro efektivní boj s zubním kamenem pod dásní

Zubní kámen pod dásní je skrytý problém, který může vést ke ztrátě zubů. Zjistěte, jak ho poznat, jak ho odstranit a jak ho předcházet bez zbytečných nákladů a bolesti.

Číst více
Zubní kámen u dětí: Jak ho efektivně odstranit a předcházet jeho vzniku

Zubní kámen u dětí: Jak ho efektivně odstranit a předcházet jeho vzniku

Zubní kámen u dětí se neodstraní doma - jen profesionální čištění u zubaře pomůže. Zjistěte, jak ho poznat, jak ho odstranit bezbolestně a jak předcházet jeho opakování.

Číst více
Černý zubní kámen: jak ho poznat, proč je škodlivý a jak ho odstranit

Černý zubní kámen: jak ho poznat, proč je škodlivý a jak ho odstranit

Černý zubní kámen je nebezpečný pro dásně a často způsobuje ztrátu zubů. Zjistěte, jak ho poznat, proč je škodlivý a jak ho odstranit bez poškození zubů.

Číst více
Zubní kámen u dětí: Jak ho rozpoznat a bezpečně odstranit

Zubní kámen u dětí: Jak ho rozpoznat a bezpečně odstranit

Zubní kámen u dětí není jen estetický problém - může vést k zánětu dásní, bolesti a ztrátě zubů. Zjistěte, jak ho rozpoznat, proč ho nesmíte odstraňovat doma a jak ho bezpečně odstranit u zubaře.

Číst více
Jak dlouho nepít po dentální hygieně? Co musíte vědět o pití po odstranění zubního kamene

Jak dlouho nepít po dentální hygieně? Co musíte vědět o pití po odstranění zubního kamene

Zjistěte, jak dlouho nepít po odstranění zubního kamene, aby jste zabránili zbarvení zubů a opětovnému vzniku kamene. Praktické rady pro pití, jídlo a péči po hygieně.

Číst více
Zubní hygiena a černý zubní kámen: Jak ho odstranit a předcházet jeho vzniku

Zubní hygiena a černý zubní kámen: Jak ho odstranit a předcházet jeho vzniku

Černý zubní kámen není jen estetický problém - je to známka špatné hygieny, která může vést k ztrátě zubů. Zjistěte, jak ho odstranit, jak ho předcházet a proč ho ignorovat je nebezpečné.

Číst více
Zubní kámen pod dásní: jak ho odstranit a předcházet jeho vzniku

Zubní kámen pod dásní: jak ho odstranit a předcházet jeho vzniku

Zubní kámen pod dásní je neviditelné, ale nebezpečné onemocnění, které může vést ke ztrátě zubů. Zjistěte, jak ho odstranit, jak mu předcházet a proč domácí metody nestačí.

Číst více
Jak efektivně rozpouštět zubní kámen? Praktické tipy a metody

Jak efektivně rozpouštět zubní kámen? Praktické tipy a metody

Zjistěte, co je zubní kámen, jaké metody jej rozpouštějí, jak chránit skloionomerní plomby a jak předcházet jeho tvorbě pomocí efektivní ústní hygieny.

Číst více
Odstranění zubního kamene: Kompletní průvodce pro zdravý úsměv

Odstranění zubního kamene: Kompletní průvodce pro zdravý úsměv

Článek popisuje důležitost odstranění zubního kamene pro udržení zdravého úsměvu. Podrobně vysvětluje, co zubní kámen je, jaké jsou jeho příčiny a důsledky. Dále nabízí účinné metody pro prevenci a odstranění zubního kamene, včetně doporučení pro správnou ústní hygienu a profesionálních zákroků. Článek je doplněn praktickými tipy a zajímavými fakty, které pomohou čtenářům udržet jejich úsměv zdravý a krásný.

Číst více
Účinné odstranění zubního kamene pod dásní a zachování zdraví dásní

Účinné odstranění zubního kamene pod dásní a zachování zdraví dásní

V tomto článku se zaměříme na zubní kámen, který se tvoří pod dásněmi a je známý jako jedna z hlavních příčin problémů s dásněmi a zubním zdravím. Zjistíme, jak lze odstranit zubní kámen a jaká opatření můžete přijmout, abyste si udrželi dásně zdravé. Nabídneme řadu užitečných tipů a doporučení od odborníků na ústní hygienu a zdůrazníme význam pravidelné péče o zuby a dásně.

Číst více
Proč je důležité odstranit zubní kámen pod dásní?

Proč je důležité odstranit zubní kámen pod dásní?

Jako žena zaměřená na péči o svůj úsměv vám chci povědět, proč je důležité odstranit zubní kámen pod dásní. Zanedbání tohoto problému může vést k vážným zdravotním problémům, včetně parodontitidy a ztráty zubů. Na této stránce se dozvíte, jaké důsledky může mít neodstraněný zubní kámen a jak se mu můžete efektivně vyhnout. Chráníme svůj úsměv společně!

Číst více